Un caso clinico raro e ad alto rischio è stato gestito con successo al Grande Ospedale Metropolitano (GOM) di Reggio Calabria.
La prontezza e la professionalità della Chirurgia Toracica hanno permesso di salvare la vita di una giovane donna grazie a una delicata procedura endoscopica.
Delicatissima procedura endoscopica effettuata nelle scorse settimane al Grande Ospedale Metropolitano di Reggio Calabria.
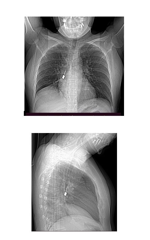
Il Direttore dell’UOC di Chirurgia Toracica, dr. Baldassare Mondello, insieme alla sua équipe, ha estratto in urgenza per via broncoscopica un cacciavite odontoiatrico accidentalmente inalato da una giovane donna.
La paziente è giunta al Pronto Soccorso del G.O.M. esibendo un esame di diagnostica per immagini (Tomografia Computerizzata) eseguito a causa di una tosse persistente e di un forte dolore a livello toracico. La TC mostrava la presenza di un corpo estraneo metallico pericolosamente incastrato nel bronco lobare inferiore del polmone destro e un concomitante pneumomediastino, ossia la presenza di aria nello spazio compreso fra i due polmoni.
Prontamente ricoverata, la paziente è giunta in sala operatoria ove è stata sottoposta in urgenza all’intervento. Il decorso postoperatorio, gestito dalla validissima équipe della U.O.S.D. Terapia Intensiva Post Operatoria (T.I.P.O.)diretta dal dr. Massimo Caracciolo, è stato regolare e la paziente è stata dimessa in ottime condizioni.
Il personale che ha coadiuvato il dr. Mondello nell’intervento: dr. Massimino Messinò (medico in formazione), anestesisti, dr.ssa Lilly Gatto e dr. Leonardo Cosenza. Personale del Blocco Operatorio: CPS Fortunato Quattrone, CPS Angela Fiozzo e CPS Paolo Pennestrì.

































